I'm still laughing about my appointment 4 hours later - at least I'm not crying, right? Well, still no weight gain (haven't gained anything for 8 weeks) and I measured 30cm. I just looked at Dr. W and said "So, now I'm going backwards?" She just said that I'm just carrying the baby differently (to which Mom said "You're still carrying her in your uterus though, right??" LMAO, Bean!) and that I need to try not to worry so much. Easier said than done but I felt a hell of a lot better after hearing that from her, let me tell ya.
Oh and I have another bladder infection. For those keeping track, that would be #4 for this pregnancy.
BUT the good news is that my c/s is OFFICIALLY on the books for Thursday, August 7th. That's 5 weeks from this Thursday - OH.MY.GOD!!
To my dear Kris: THANK YOU. I've been thinking about you a lot lately, as I remember how annoyed you would get at the "you're so small" comments. I know I said it a time or two myself and I'm so totally sorry. Love you for checking in! Give your beautiful girls kisses for me!
And, Lisa, thank you as well. You've been such a huge support during this entire pregnancy and you're always there with a kind word and a way to make me laugh my ass off. Love you!
Monday, June 30, 2008
An Almost Comical Update
A Vent, A Rant, A Meltdown, Call It What You Will
Okay, I just *have* to get this off my chest and I apologize in advance for coming across as an insane woman. However, I *am* 8 months pregnant so I'm allowed...right?
As my readers (ha ha!) know, I've been measuring small and have gained only minimal weight. While it may sound like "Oh, must be rough NOT gaining a zillion pounds" is the proper response, IT ISN'T. Or, when you hear how far along I am, "Oh, wow, you're so small" is also not what needs to be said. I worry constantly. 24 hours a day, 7 days a week. I worry that Maggie isn't growning; I worry and lose sleep like crazy the day before my appointments; I worry that I'm going to hear from my doctor that she's just not happy with where I'm at and that she's going to take the baby; I just worry. And when I hear these comments, it makes me feel like I'm a failure and just reminds me all over again of how vulnerable Maggie and I both are.
I also want to say that this post is NOT directed at anyone in particular, it's just a general musing, if you will. Commenting on how small I am makes me feel the same as when I would hear "Are you EVER going to have another baby?" These things just really aren't okay to say to someone because, really, you may not have a clue what is going on with that person.
We saw some friends this weekend and they're just a month away from celebrating their 4th wedding anniversary. No children yet. Of course, I wanted to ask the BIG question, but I didn't. I've been there and it's a horrible question to hear. And again, I don't know what's happening with them. For all I know, they've been trying since their honeymoon and have had multiple losses.
I have my 34 week appointment in just a few hours and I'm a mess. I am praying like mad for some good weight gain and to be measuring close to 34 cm. I'm also hoping to finally get my c/s date confirmed - that's definitely something to look forward to!
Fingers crossed, people!
Friday, June 27, 2008
Babies, Babies, Everywhere!!
One of my oldest and dearest friends, Kristin, gave birth to her second baby girl on Tuesday, June 24th. Neala Kate weighed in at 7 pounds, 13 ounces and was 19 1/2" inches long. I got to hold her for an hour Tuesday evening and, let me tell ya, I was in HEAVEN!! She's such a sweet and beautiful baby, just like her big sister Aiden Grace.

Congratulations to Kris, Nate & Aiden! I love you guys!
Kel
PS Oh, and Piper can't WAIT to see the baby (and play with Addie's dollhouse!)
Tuesday, June 24, 2008
Introducing Wyatt & Bridget
My dear friend Laura had her beautiful babies 3 weeks ago and I'm so excited to be able to post a few pictures of them! I'm sure proud Aunt Kelli will share more later.

Aren't they GORGEOUS??
Monday, June 23, 2008
The Room
I am BEYOND thrilled to say that our girls' room is DONE!! The only thing left to do is to hang up a couple shelves and finish painting a basket and that's it. It looks AMAZING (Mom even got choked up!) and Piper absolutely loves it!
We spent all day Saturday and almost all of yesterday organizing, moving stuff around and painting. My God, I've never painted so much in my life. I was quite crafty, if I do say so myself. Ryan was AMAZING and didn't bark at me once, even when we wandering the aisles at Wal Mart and Menards - we don't usually shop well together. He just let me call the shots and went along with everything I said. I love you, honey!
I didn't take any before pics but just imagine a bed, a dresser, a bookcase and TONS of toys all over the floor. Seriously, it was BAD.
.jpg)
I have my next appointment next Monday and I'm SOOOO hoping my doc will confirm/schedule my c/s. I'll keep you updated!
Thursday, June 12, 2008
Update From Monday's Growth Scan
Everything is just FINE!! Once I heard "normal", all was right with the world. Maggie is approximately 3 pounds which is right where she should be. So, I'm just going to keep doing what I'm doing and stop worrying so much. (Yeah, right!)
K
Tuesday, June 10, 2008
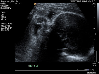
More Pictures!



An Update and a Few Pictures!!
Well, I'm now almost 31 weeks (craziness!) and starting to count down the minutes. At my last appointment (on Friday), I was measuring 2 weeks "behind" and that, coupled with not much weight gain, led my doctor to decide it was time for a growth scan. So, yesterday I had a nice 1/2 hour peek at Maggie! From what I could see, she's where she should be. With each measurement, the weeks/days would display on the bottom of the screen and every measurement was at at least 30 weeks, some were bigger. Of course, I have no idea about the amniotic fluid, placenta or umbilical cord, but she looked great and she's definitely grown since I last saw her! The radiologist was going to go over my results this morning and then send everything over to Dr. Wenzel's office. I should hear the results tomorrow. I'm not too worried, though I definitely would have been had I not seen those numbers. Plus, the tech was AWESOME and explained everything as she was doing it.
Here are a few pics of our girl!
This one I absolutely love! Just look at those lips! Spitting image of her daddy and her big sister. <3

In other news, my dear friend Laura gave birth to her beautiful twins last Monday! Wyatt and Bridget were born just shy of 4 weeks early and are in spectacular health! No NICU time and have been home since last Wednesday. Much love to Laura and her beautiful family!
Sweet Isaac will be TWO on Thursday, which totally blows my mind. We're having his birthday party at Mom and Danny's on Saturday - we can't wait! I know this is particularly tough on Kari (her baby boy growing up and all) so if you're on Facebook or MySpace with her, send her a little note.
Ryan and I are spending all of Saturday the 21st getting the girls' room ready. I think he's chosen to forget that but I lovingly remind him every chance I get. Ha ha. We don't really have *that* much to do and I'm actually quite excited about it. I'll be sure to post pictures of the before and after!
Okay, that's about all for now. I'll be sure to update after I hear from Dr. Wenzel.
Much love,
K